Sorry, you need to enable JavaScript to visit this website.
Overslaan en naar de inhoud gaan
Like Dislike

Herken acromegalie

Hoe herken je acromegalie binnen de mondzorg

Als mondzorgspecialist speelt u een belangrijke rol bij de vroege diagnose van acromegalie. Bij deze zeldzame aandoening produceert de hypofyse te veel groeihormoon. Daardoor gaan delen van het lichaam langzaam groeien. De geleidelijke groei valt vaak niet meteen op, maar kan wel grote gevolgen hebben.

Ik ben tandarts/mondhygiënist, op welke signalen moet ik letten?

Tandartsen, mondhygiënisten, orthodontisten en kaakchirurgen kunnen veranderingen in de mond en het gezicht als eerste opmerken. Deze signalering is essentieel. Bij een vlotte diagnosestelling kunnen patiënten sneller de juiste behandeling starten.
 

Symptomen en signalen van acromegalie in de mondzorg

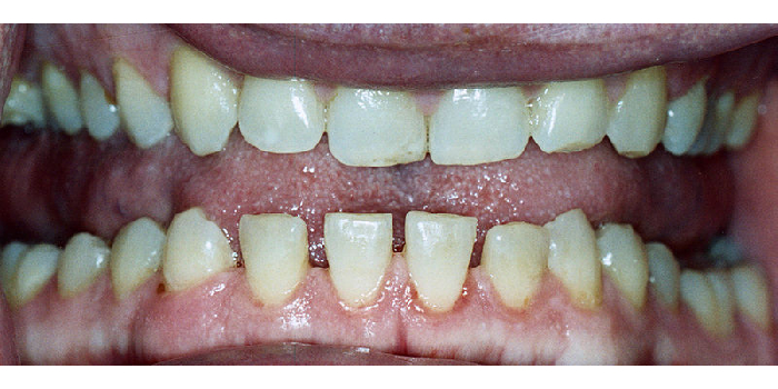
  • Groei van de onder- en bovenkaak, waardoor de gebitsocclusie verandert.

Gebitsocclusie verwijst naar de manier waarop de tanden van de boven- en onderkaak op elkaar passen bij het sluiten van de mond. Een malocclusie, ookwel overbeet, kan problemen veroorzaken bij het kauwen, spreken en het schoonhouden van de tanden. Tandverplaatsing kan leiden tot een ongelijke verdeling van de druk tijdens het kauwen, wat op lange termijn kan leiden tot problemen zoals slijtage van het tandglazuur, gevoeligheid en tandvleesproblemen.

Acromegalie groei kaken, gebit mond
Bronnen: Wikipedia, springer
  • Meer ruimte tussen de tanden (diastemen) door groei van de kaak

Diastemen verwijst naar de aanwezigheid van abnormale tussenruimtes of spleten tussen tanden als gevolg van de overproductie van groeihormoon. Problemen variëren afhankelijk van de locatie en grootte van de tussenruimtes. Ze kunnen een onregelmatige tandstand veroorzaken en een onaantrekkelijk uiterlijk van het gebit. 
Diastemen kunnen effect hebben op de uitspraak van bepaalde klanken, vooral als ze zich bevinden tussen de voortanden. Dit kan leiden tot spraakproblemen en onduidelijke spraak. En ook kauwproblemenkunnen ontstaan door diastemen, vooral als ze zich bevinden tussen de kiezen.

Acromegalie tanden, diastemen, spleetje
Bron: Wikipedia
  • Macroglossie door groei van de tong

Een vergrote of verdikte tong kan de tanden en kiezen wegdrukken en de mobiliteit van de tanden verergeren. Macroglossie ook leiden tot functionele klachten zoals snurken, kwijlen, slaapapneu en slik- en spraakproblemen.

acromegalie groei tong
Bron: Slider deck Pfizer
  • Gezwollen lippen

Groei van de lippen is één van de zichtbare effecten welke groeihormonen kunnen hebben op de zachte weefsels van het lichaam. Dit kan de spraak en eten en drinken bemoeilijken. De esthetische verandering kan leiden tot een negatief zelfbeeld bij mensen met acromegalie.

  • Pijn in de kaken

Pijn in de kaken is een veelvoorkomend symptoom. De overmatige productie van groeihormoon kan leiden tot een vergrote kaak (ookwel prognathisme genoemd) en veranderingen in de botstructuur en weefsels rondom de kaken. Het kan moeilijk zijn om te kauwen, te praten of om de mond volledig te openen. Dit kan leiden tot problemen bij het eten en spreken wat de kwaliteit van leven van de patiënt negatief kan beïnvloeden. De pijn in de kaken kan ook uitstralen naar andere delen van hoofd en gezicht en zo bijvoorbeeld ook hoofdpijn en oorpijn veroorzaken.

  • Hypercementose, waardoor de tandwortel verdikt raakt en tandextractie lastiger wordt.

Hypercementose is een aandoening waarbij er abnormale hoeveelheden cement worden afgezet rond de wortels van tanden en kiezen als gevolg van de overproductie van groeihormoon. Dit kan leiden tot veranderingen in het gebit, zoals vergroting van de tanden en kiezen met esthetische problemen, die een goede mondhygiëne moeilijker maken, als gevolg. De abnormale afzetting van cement kan de wortels verlengen en verbreden. Dit kan leiden tot problemen zoals wortelresorptie en verlies van tanden en kiezen en dit heeft weer zijn weerslag op de kauwfunctie, spraak en het algemene welzijn van de patiënt.

Klik hier voor de andere symptomen van acromegalie

Wat moet ik doen als ik acromegalie vermoed?

Als gebitsocclusie langzaam lijkt te veranderen of als de tong lijkt te groeien, denk dan aan de mogelijkheid van acromegalie.

Ziet u een mogelijk signaal van acromegalie? Verwijs de patiënt dan naar de huisarts voor verdere diagnostiek en behandeling.

Met de juiste behandeling kan het overschot aan groeihormoon worden verminderd. Zo krijgen patiënten minder klachten, een verbeterde kwaliteit van leven en een normale levensverwachting. Het signaleren van acromegalie is dus zinvol.

PP-UNP-NLD-1164
Pagina beoordelen Like Dislike
Bronnen

Bronnen

Bij het samenstellen van deze pagina is uiterste zorgvuldigheid betracht met betrekking tot het vermelden van bronnen. Mocht het onverhoopt zo zijn dat er iets niet vermeld is dan verzoeken wij die persoon of instantie direct contact op te nemen.

Deze vraag is om te controleren dat u een mens bent, om geautomatiseerde invoer (spam) te voorkomen.